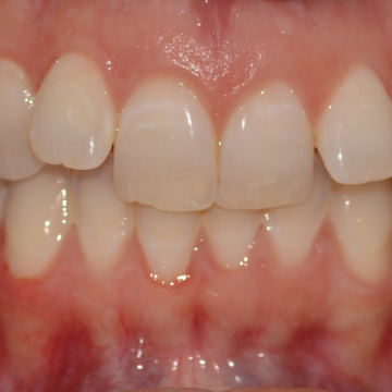
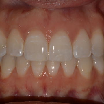
FAQs
How does Invisalign work to straighten teeth?
Invisalign uses a series of custom clear aligners that gently shift your teeth into place over time. Each set is worn for few days before moving to the next, gradually improving your smile without metal brackets or wires.
Am I a good candidate for Invisalign?
Most teens and adults with mild to moderate orthodontic issues can benefit from Invisalign. During your consultation, we’ll evaluate your smile and recommend the best treatment plan for you.
How long does Invisalign treatment usually take?
Treatment times vary based on individual needs but typically range from 6 to 18 months. We’ll provide a personalized timeline after your initial evaluation.
Is Invisalign comfortable to wear?
Yes! Invisalign aligners are made from smooth, BPA-free plastic designed for comfort and easy wear throughout the day and night.
How do I keep my Invisalign aligners clean?
Keeping your aligners clean is easy. Simply rinse them daily with lukewarm water and gently brush them with a soft toothbrush. Avoid using hot water or toothpaste, as these can damage the aligners.
.png)
.png)


.png)
.png)